首頁 > 案例分享 >心臟科
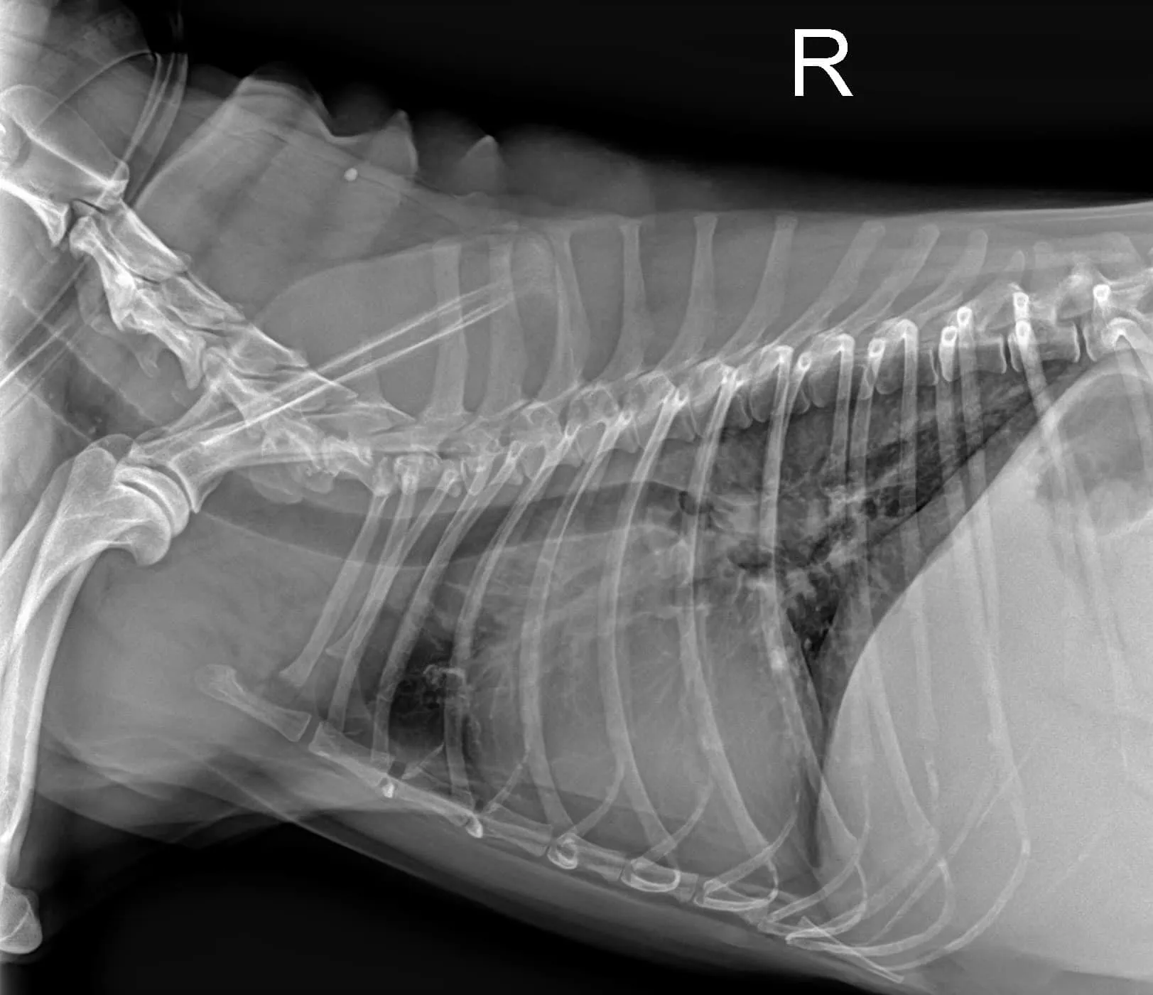
病例分享 毛孩的臨床症狀 1. 突然變很喘,伴隨間斷性劇烈咳嗽。 2. 精神食慾正常,於友院服用止咳藥物後,無顯著改善。 3. 腹部異常膨脹,於
當遇到毛孩有呼吸急促、會喘、咳嗽、呼吸困難等狀況時,安可的醫師腦海裡其實已經開始思考所有可能的原因,例如: 心臟問題、肺臟問題、胸膜腔壓迫性疾病、疼痛,抑或是其他生理性等問題,都一一跑過
狗狗年紀大不愛走動,只是老了嗎? 其實,心臟病也可能是原因之一。許多飼主在毛孩年紀漸長後,會發現牠們變得不愛走動、散步一下就想停、活動力明顯下降。不少人會直覺認為:「牠只是老了。」